A regular dental check-up is necessary because it keeps your teeth and oral health healthy from oral disease. One Should have a dental check-up every 6 months or as advised by a dental professional.
Reasons for regular dental check-ups.
1. Prevents plaque, cavities, tartar, and tooth decay.
2. Prevent gum disease.
3. Early detection of oral cancer.
4. Can detect systemic health issues.
5. Advice you on good oral hygiene and the prevention of any further oral disease.
As we understood the reasons necessary for a regular dental check-up, let’s get to know details about the above mention reasons in little detail.
1. Prevents plaque, cavities, tartar, and tooth decay:-
Indeed, even the most aware individual can neglect to clean the hard-to-reach places in their mouth. A genuine example is the back molars, which are famously difficult to clean. For that reason, each individual should see a dental specialist every 6 months.
The dental specialist will analyze the patient's teeth
to search for early indications of tooth caries. If the dental specialist
observes small cavities or white spots on the teeth, they will begin the
patient on fluoride treatment to turn around the decay and treat bigger
cavities with dental fillings. If it is not detected early then the root canal
treatment is only left which will increase the damage of the tooth and will
spread to other teeth also.
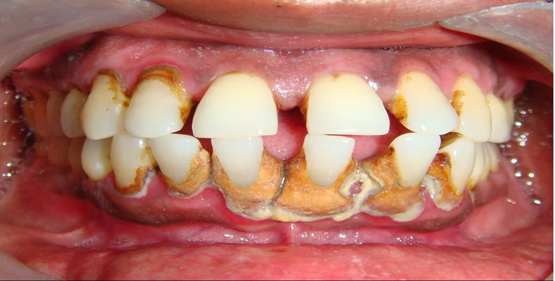
Fig.1:
Tooth Decay
Then, the dental specialist will play out an expert tooth cleaning to eliminate plaque or tartar from the teeth and gums. This will shield the teeth and gums from assaults by harmful microorganisms that make their home in plaque and tartar. The procedure of removing plaque or tartar is called “scaling and polishing of the teeth”.
Fig.2:
Plaque
2. Prevent Gum disease:-
Generally,
the beginning phases of gum sickness have no side effects. This makes it
difficult for an individual to recognize gum infections in their mouths.
Fortunately, dental specialists are prepared to recognize gum sickness in any
event, when it attempts to stow away.
During a standard exam, the dental specialist will ensure that the gums are firm. They will check for Swelling, receding gums, and profound gum pockets. In the event that the dental specialist observes any of these stressful indications, they will treat the hidden reason.
Fig.3: Swelling of Gums.
Typically,
early gum infection disappears when a patient improves oral health, and a
dental specialist will happily direct their patient on the best way to deal
with their gums.
Fig.4: Periodontal Pockets
3. Early detection of oral cancer.
As well as analysing the teeth and the gums, a dental specialist will search for indications of oral malignant growth in their patient's mouth. This is extraordinary since, in such a case that oral disease goes undetected, it can form into a perilous sickness.
The dental specialist utilizes an extraordinary light to search for dead tissue brought about by growths. The test is known as a Biopsy test. It is easy and just requires a little while.
With this test, an individual who sees a dental specialist like clockwork has minimal shot at growing late-stage oral malignant growth.
4. Can detect systemic health issues.
One more piece of a dental test is the head and neck test. The dental specialist will actually take a look at the lymph hubs, neck, and jaws for expansion, irregularities, distortions, and some other manifestations of the disease. Assuming an issue is found, the dental specialist will allude the patient to the fitting clinical expert.
This is one explanation that an individual should anticipate their dental exams. They get to have their thyroid checked for the low, low cost of a dental test. What isn't to cherish?
Keep steady over your dental wellbeing with standard
exams. In the event that you get ordinary tests, your teeth are bound to be
solid and solid. They will serve you however long you live. Go ahead and stop
by Dental Clinic near you to get your dental exam.
Picture
presentation of Stages of Gum Disease
Here is a great link to help you to know how to maintain good oral hygiene. https://drshreyanagrawal.blogspot.com/2019/12/10-tips-for-oral-health-that-can-change.html
And a link to where you can get information Foods that are Worst for your teeth. https://drshreyanagrawal.blogspot.com/2021/10/10-foods-that-are-worst-for-your-teeth.html
Finally, with regards to Provide information on 10 Foods that are worst for your teeth.
I trust you keep on discovering these web journals supportive if just to assist you with growing your Knowledge!





Comments
Post a Comment